About the Images
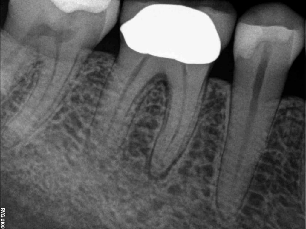
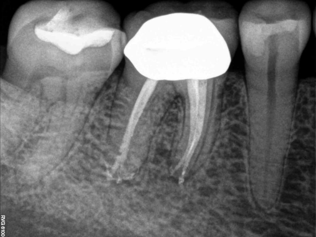
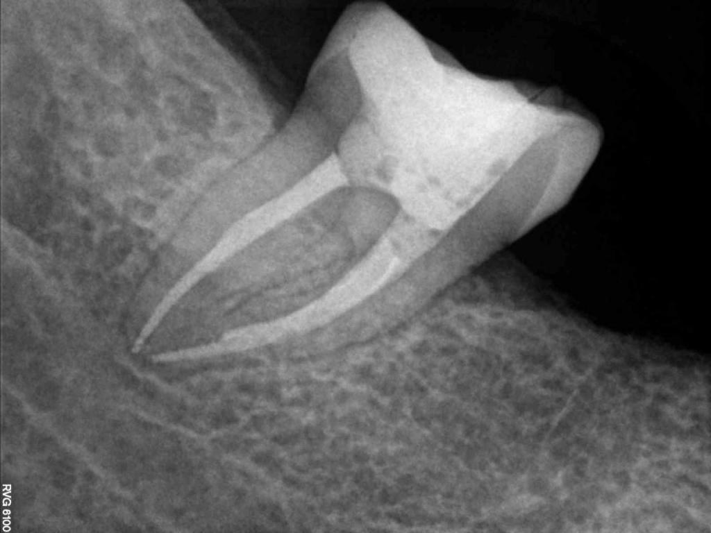
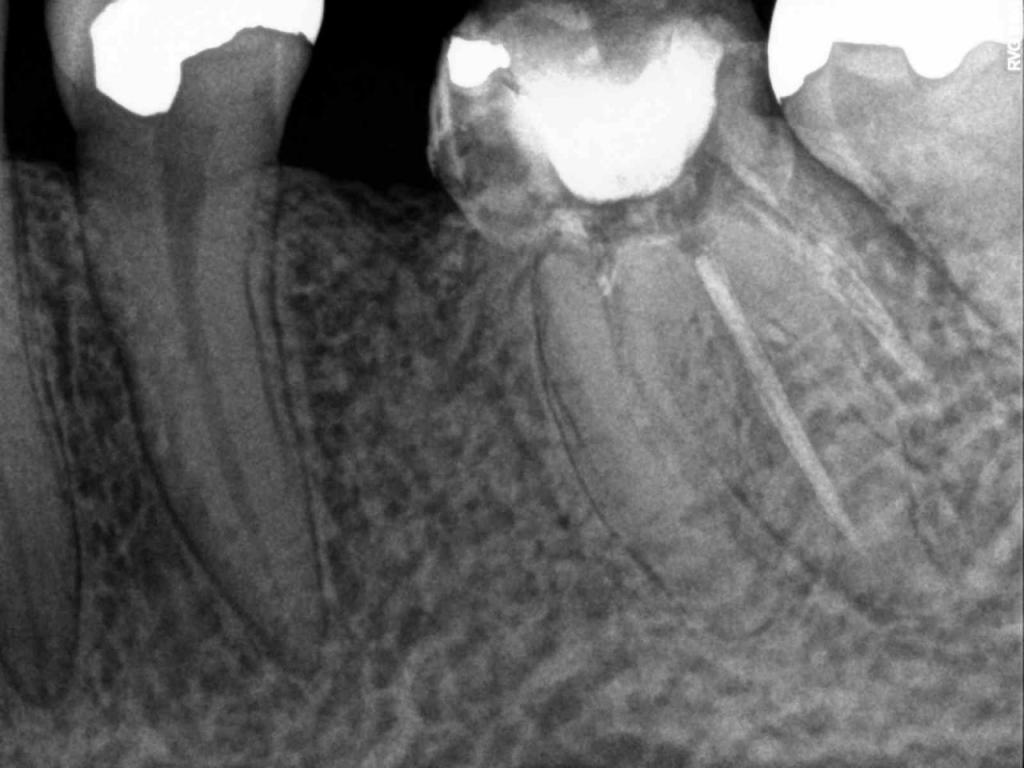
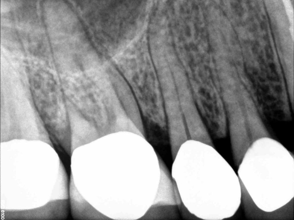
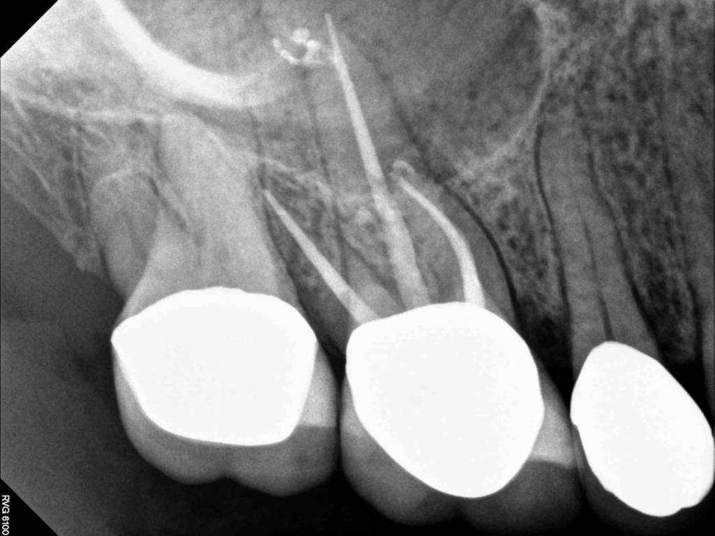
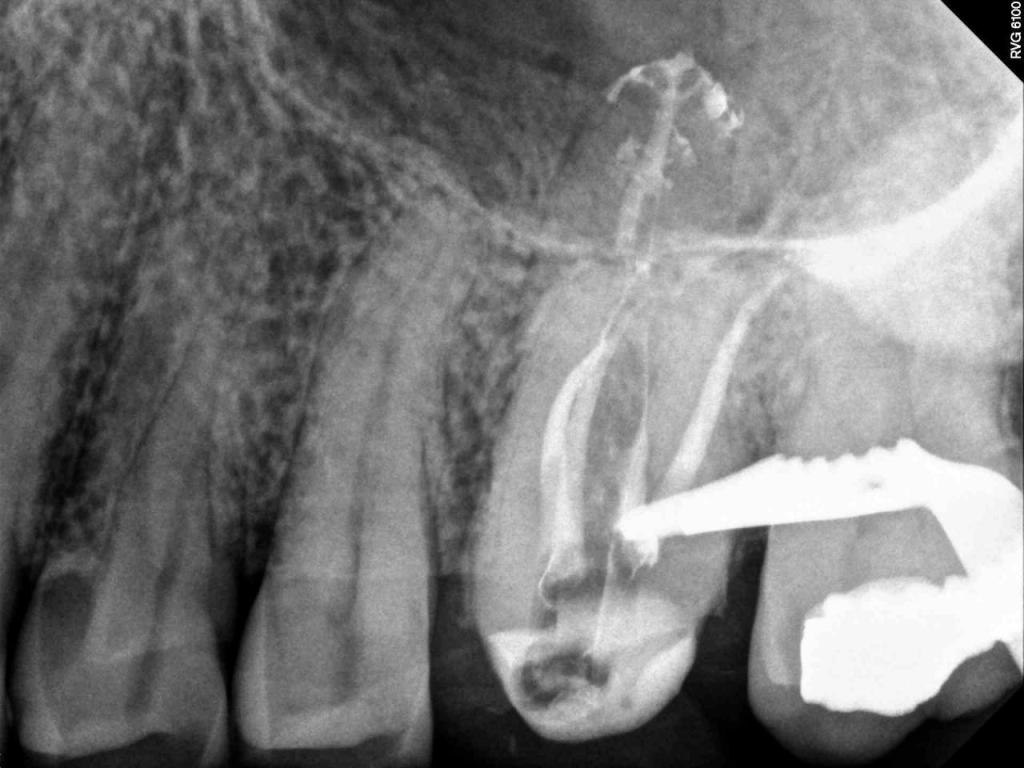
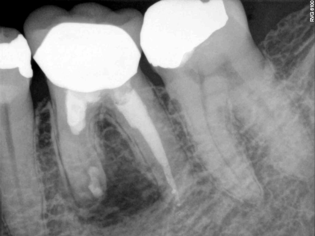
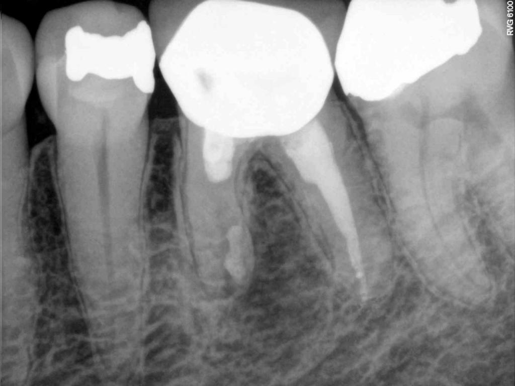
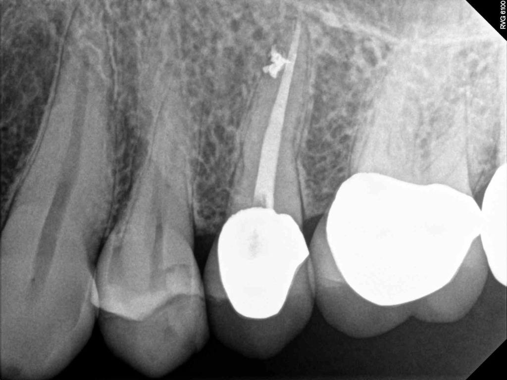
Although the primary use of visual documentation is for patient charts, dental images provide a meaningful way to communicate with patients about their care needs. Digital imagery is a vital tool for educating patients and an essential way to share information with office staff, colleagues and referring doctors. Digital technology has allowed Southcenter Endodontics to enhance our practice and improve the delivery of care to our patients. Below you will see images of “Before” and “After” scenarios. By clicking on a thumbnail image below, you will be able to see and a larger view of the x-ray taken at Southcenter Endodontics and notations made regarding each film.

















“Dr. Stephens and staff made a very unpleasant situation bearable with their compassion and sense of humor. I have already recommended them to friends and have given them a glowing report to the family dentist whom referred me.”
From a Satisfied Patient on a patient survey
Contact us and schedule your appointment.